Traitement d'une péri-implantite
Traitement d'une péri-implantite par curetage péri-implantaire associé à l'application d'un produit à base de plantes médicinales et d'huiles essentielles:
.
Historique :
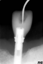
Patient agé de 55 ans porteur d’une prothèse amovible (Plaque métallique + 3 dents) au maxillaire, les dents résiduelles (11,12,13) sont légèrement mobiles, CCM sur piliers implantaires au niveau 21,25,27. Prothèse amovible à la mandibule (Plaque métallique + 9 dents). Perte importante de la dimension verticale et problèmes de paro. Le patient se plaint d’une douleur diffuse au niveau du pilier implantaire de 21, douleur à la percussion et légère suppuration à la pression digitale (R1 - 10_03_03).

R1-10_03_03
Traitement :
Je procède à un détartrage soigneux, nettoyage péri-implantaire et antibiothérapie (8j). Au bout de 3 jours, plus de suppurations ni de douleur diffuse au niveau 21, mais persistance de douleurà la percussion.
Le 16/05/03 (R14 - 16_05_03) le patient se représente avec les mêmes symptômes qu’à la première visite avec en plus une légère mobilité du pilier implantaire (21).
Je propose au patient un traitement chirurgical associé à un traitement phyto-aromatique (si on peut l’appeler ainsi) à base d’un produit composé de six plantes médicinales et de six huiles essentielles préparé par mes soins.

R14 - 16_05_03
1ère Séance :
Applications topiques à l’aide de petites boulettes de coton imbibées de produit pur autour du pilier. On répète l’opération trois à quatre fois au cours de la séance, puis rinçage de la bouche avec le produit dilué (1V de produit + 3V d’eau distillée).
2ème et 3ème Séances (3 jours après la 1ère séance):
Irrigation péri-implantaire avec produit dilué (1V+3V) à l’aide d’une seringue de 2ml avec aiguille endodontique, l’irrigation doit être lente, sans utilisation de l’aspiration chirurgicale. Recueillir le produit qui coule avec un coton salivaire, afin de laisser le produit riche en tanins agir in situ, puis rinçage de la bouche avec le même produit dilué.
4ème Séance (3 jours après la 3ème séance):

R15 - 11_07_03
Il n’y a plus de suppuration, l’inflammation a disparu, anesthésie du site péri-implantaire, curetage péri-implantaire, application topique du produit pur puis protection de la plaie à l’aide d’un pansement chirurgical.
5me Séance (3 jours après la 4ème séance) :
Retrait du pansement chirurgical et nouvelle irrigation. Je revois le patient tous les trois jours, pendant une dizaine de jours, pour une irrigation avec le produit dilué.
Contrôle : (Après un mois)
Il n’y a plus de suppuration, la douleur à la percussion a disparu, le pilier implantaire (21) n’est plus mobile (R21 - 16_07_04).

R21 - 16_07_04
Contrôle en Janvier 2005 :
L’implant est stabilisé et il y a une reconstitution osseuse (R23 - 18_01_05)

R23 - 18_01_05
Depuis, il y a eu extraction des 11,12,13 résiduelles, la CCM sur pilier implantaire au niveau 21 a été démontée et remplacée par un attachement type O Ring (de chez MIS), vissé sur le pilier implantaire afin de stabiliser la prothèse amovible en attendant la pose de nouveaux implants (11,12,13,14).
Dr Maurice KAKON